Dra. Luciana Souza
Cirurgiã Dentista
Formada em Odontologia pela UNICAMP em 2003, invisto constantemente em aprimoramento de técnicas e especializações, possuindo mais de 20 certificados e diplomas ao longo da minha carreira. Meu currículo se desenvolveu através da vasta experiência na área de IMPLANTES DENTÁRIOS desde 2004, Cirurgia através do atendimento Público no Centro de Especialidades Odontológicas com mais de 20 mil procedimentos desde 2006 e atendimento hospitalar nos casos complexos.
Com mais de 20 anos atuando no mesmo endereço, sou referência em atendimento humanizado, utilizando os melhores materiais e equipamentos com objetivo de oferecer conforto, rapidez e excelência nos resultados.
Minha marca é: amor e competência no que faço!


POR QUE VOCÊ PODE
TRANFORMAR O SEU SORRISO
COM IMPLANTES ?
Casos de Sucesso


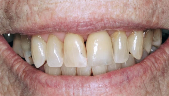
IMPLANTE UNITÁRIO
Solução ideal para substituir a perda de um dente com a máxima naturalidade


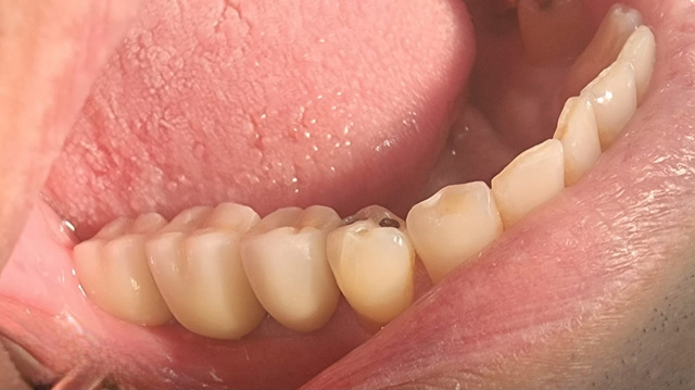
IMPLANTE MULTIPLO
Ideal para quem deseja substituir as famosas pontes de grampo independente da quantidade de dentes perdidos


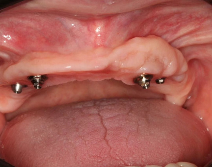
IMPLANTE TOTAL
Aumente em mais de 70% a capacidade da mastigação substituindo a dentadura tradicional pela prótese sobre implantes
"Nunca mais eu vou precisar escolher o que comer" - José Carlos
TODAS AS IMAGENS UTILIZADAS FORAM AUTORIZADAS PELOS PACIENTES

Satisfação no Resultado
Inúmeros casos de sucesso e centenas de comentários positivos
Você como Prioridade
Técnicas avançadas, materiais de ponta e equipamentos de ultima geração tornam os procedimentos precisos e com extrema durabilidade
Nossa Missão
Entregar ao paciente o resultado que surpreenda, com menor prazo possível, preço justo e personalização do atendimento

O que fazemos de melhor
Com extrema dedicação e capacidade técnica, apresentamos aos pacientes todas as variáveis do tratamento e quais as melhores possibilidades de componentes, prazos e soluções.
Nossas Especialidades:

O que meus pacientes dizem
Essas opiniões são valiosas para nós
Rita C.
Foi excelente , a Dra Luciana é extremamente atenciosa, profissional muito boa, correta, faz sem trabalho com maestria . Gisele secretária muito atenciosa, simpática e delicada como auxiliar . Nota 20
Sabrina T.
Atendimento espetacular, profissional que realmente ama o que faz. Secretária super atenciosa e simpática. Amei o atendimento, estão de parabéns, voltaremos com certeza. Obrigada de coração

Luiz B.
Excelente profissional, ótimo trabalho e explica com muita clareza todo tratamento